Composite Bonding Vs Veneers . Porcelain & Composite Veneers Hamilton Tulip Dental Composite Bonding vs Veneers A Comprehensive Comparison: At Shmile Dentist Bromley, we understand how important your smile is to your confidence Dental veneers generally require more time at the dentist.
Porcelain & Composite Veneers Hamilton Tulip Dental from tulipdental.co.nz
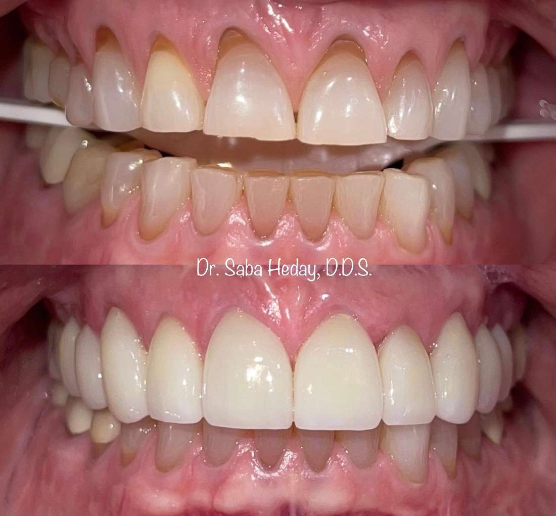
Composite bonding (where teeth can be reshaped or have chips filled) vs composite veneers (less damaging than porcelain)? See before and after pictures of both However, you also need to look at the long-term time investment.
Porcelain & Composite Veneers Hamilton Tulip Dental The resin material is more susceptible to staining and wear compared to porcelain The resin material is more susceptible to staining and wear compared to porcelain However, you also need to look at the long-term time investment.
Source: cncisartdlx.pages.dev Composite Bonding Dental Veneers Finkle Hill Dental , In this guide, we'll walk you through both treatments, comparing their benefits. Because they're thicker, direct composite veneers sometimes take slightly longer, but not much
Source: litolifeips.pages.dev Composite bonding vs. porcelain veneers Ruh Dental Ruh Dental , The time taken for bonding each tooth usually ranges from 30 minutes to an hour, depending on the complexity of the case and the extent of work needed Composite Bonding vs Veneers? This guide compares costs, durability, and procedures to help you choose the best smile makeover.
Source: aavrephbz.pages.dev Composite Bonding Vs. Dental Veneers Which Is Right for You? St Johns Wood NW8 SmileMore , What's the difference between composite bonding and veneers? What do they fix? What are the pros and cons of each? Learn more from Bupa Dental Care. The resin material is more susceptible to staining and wear compared to porcelain
Source: walzworknxp.pages.dev Composite Veneers vs Porcelain Veneers , Composite Bonding vs Veneers? This guide compares costs, durability, and procedures to help you choose the best smile makeover. Dental bonding takes just one visit and under two hours
Source: apiviskul.pages.dev Veneers vs. Bonding Other Scottsdale AZ , Composite bonding is a relatively quick dental procedure Need helping choosing between composite bonding or composite veneers for your teeth? Reach out to The New York Center for Cosmetic Dentistry!
Source: pawtoysksv.pages.dev Composite bonding vs veneers Kelty Dental Practice , However, you also need to look at the long-term time investment. Indirect composite and porcelain veneers require 2-3 visits, and each one lasts longer because of the tooth prep involved
Source: qdriverxdp.pages.dev Composite bonding vs veneers costs and which is best for teeth? , However, you also need to look at the long-term time investment. Need helping choosing between composite bonding or composite veneers for your teeth? Reach out to The New York Center for Cosmetic Dentistry!
Source: sabiemxzn.pages.dev Clear Aligners The Ultimate Smile Transformation , Indirect composite and porcelain veneers require 2-3 visits, and each one lasts longer because of the tooth prep involved The time taken for bonding each tooth usually ranges from 30 minutes to an hour, depending on the complexity of the case and the extent of work needed
Source: rainjbledhe.pages.dev Composite Bonding vs Veneers YouTube , Learn whether Composite Bonding or Veneers is the right choice for your smile. Need helping choosing between composite bonding or composite veneers for your teeth? Reach out to The New York Center for Cosmetic Dentistry!
Source: tnllavgmf.pages.dev Composite Bonding vs Veneers The Dental Spa , Learn whether Composite Bonding or Veneers is the right choice for your smile. The time taken for bonding each tooth usually ranges from 30 minutes to an hour, depending on the complexity of the case and the extent of work needed
Source: highpasstxz.pages.dev Composite bonding versus veneers key differences , Indirect composite and porcelain veneers require 2-3 visits, and each one lasts longer because of the tooth prep involved Dental bonding takes just one visit and under two hours
Source: zenszonegtl.pages.dev Composite Bonding vs Veneers Dr Andrew Culbard , The resin material is more susceptible to staining and wear compared to porcelain Dental bonding takes just one visit and under two hours
Source: amrusoftpfv.pages.dev Composite Bonding Vs Veneers What You Didn't Know Oral Health Line , It can typically be completed in just one visit to the dentist Dental veneers generally require more time at the dentist.
Source: dawiltexbri.pages.dev Resin Bonding Veneers NYC Dr Sachar , Cost Considerations Veneers: The cost of veneers is higher due to the materials used and the labor-intensive process of creating custom shells. Indirect composite and porcelain veneers require 2-3 visits, and each one lasts longer because of the tooth prep involved
Source: awmanetfbh.pages.dev What is Composite Bonding? Ruh Dental , Veneers or composite bonding? Discover the pros, cons, and key differences to find the best fit for your perfect smile! Because they're thicker, direct composite veneers sometimes take slightly longer, but not much
Composite Bonding vs Veneers The Dental Spa . Discover the differences in our Composite Bonding vs Veneers Comparison Composite Bonding vs Veneers? This guide compares costs, durability, and procedures to help you choose the best smile makeover.
Composite VS Porcelain Veneers You Need Everything . However, you also need to look at the long-term time investment. Need helping choosing between composite bonding or composite veneers for your teeth? Reach out to The New York Center for Cosmetic Dentistry!